Эрнест Абрамян
Россия, Москва
Дата рождения: 24 сентября 1982
Родной город: Не указан или скрыт
Подписчиков: 96
Страница пользователя : https://vk.com/id1080310
- Последний вход 2021-12-09 07:47:36
Эрнест Абрамян
Россия, Москва
Дата рождения: 24 сентября 1982
Родной город: Не указан или скрыт
Подписчиков: 96
Страница пользователя : https://vk.com/id1080310
Эрнест Абрамян - фото
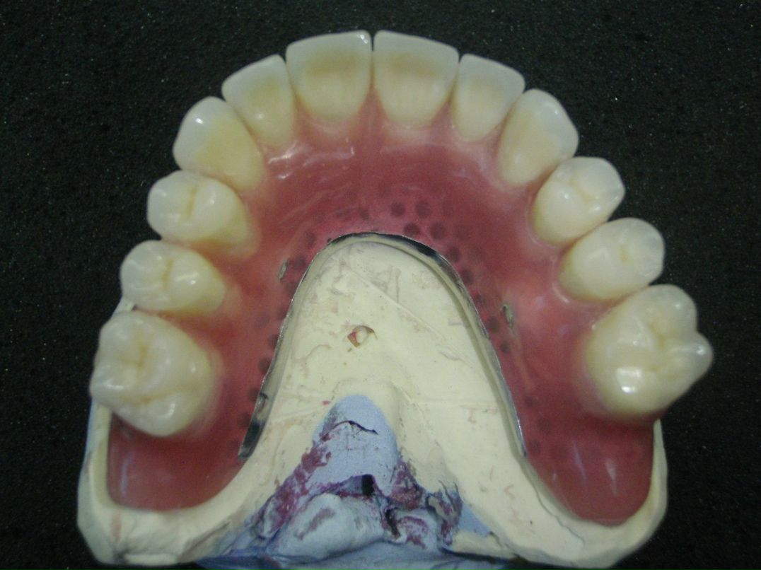
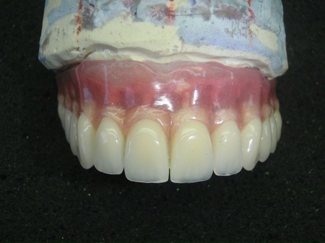
ацетал
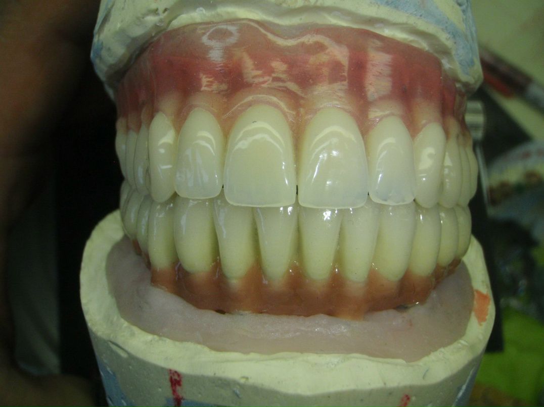
ацетал
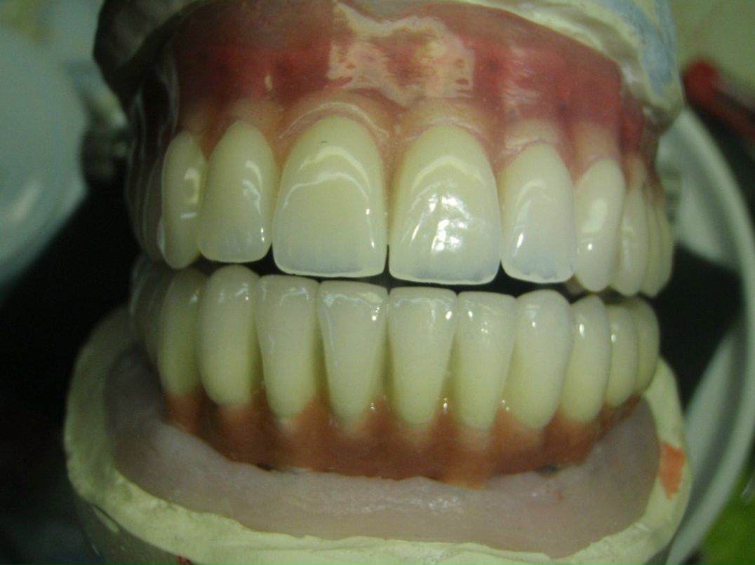
ацетал
ацетал
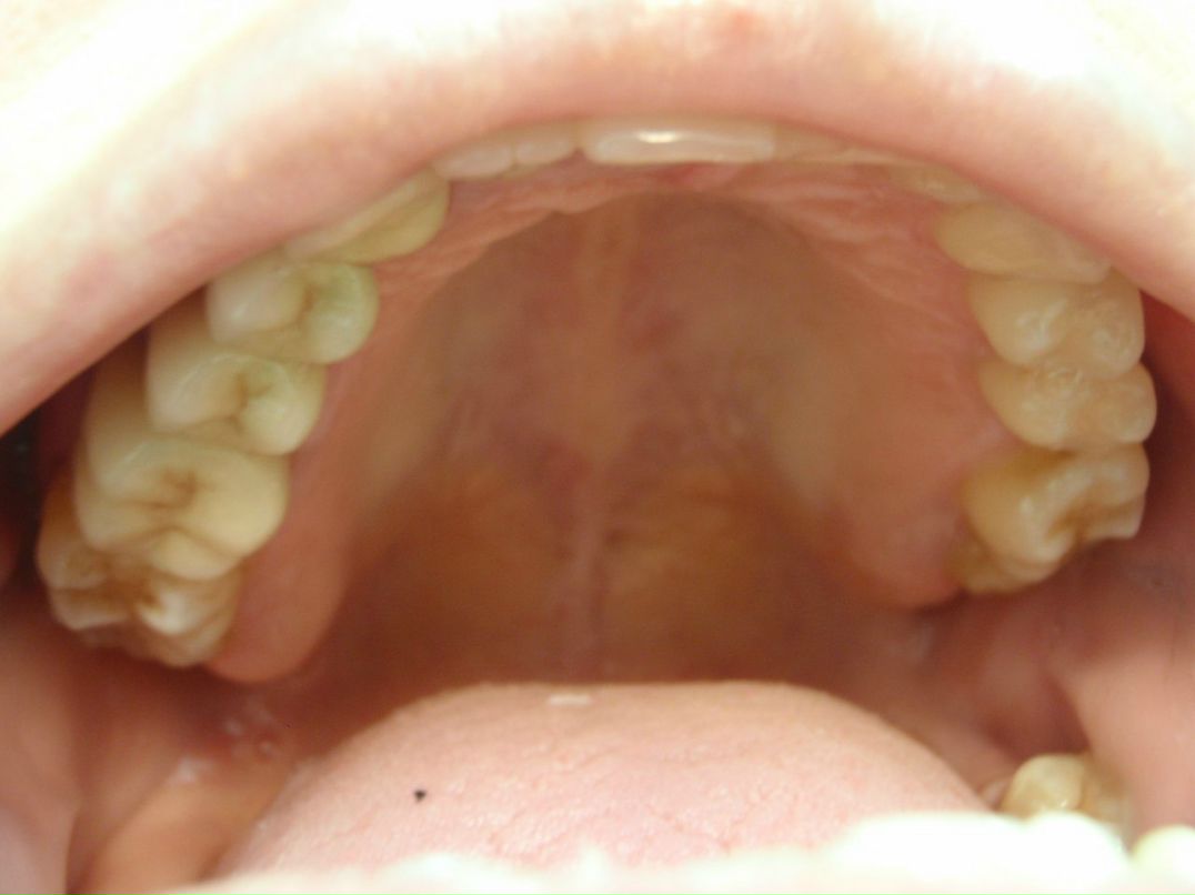
в процесе
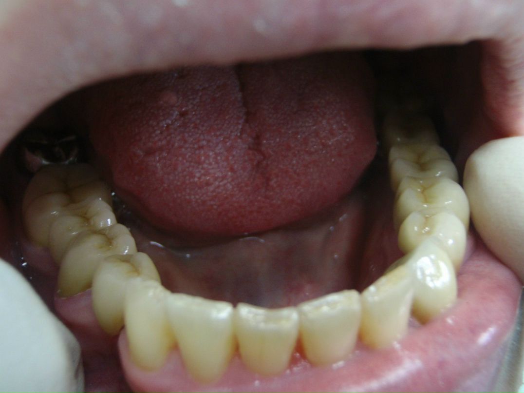
посадка
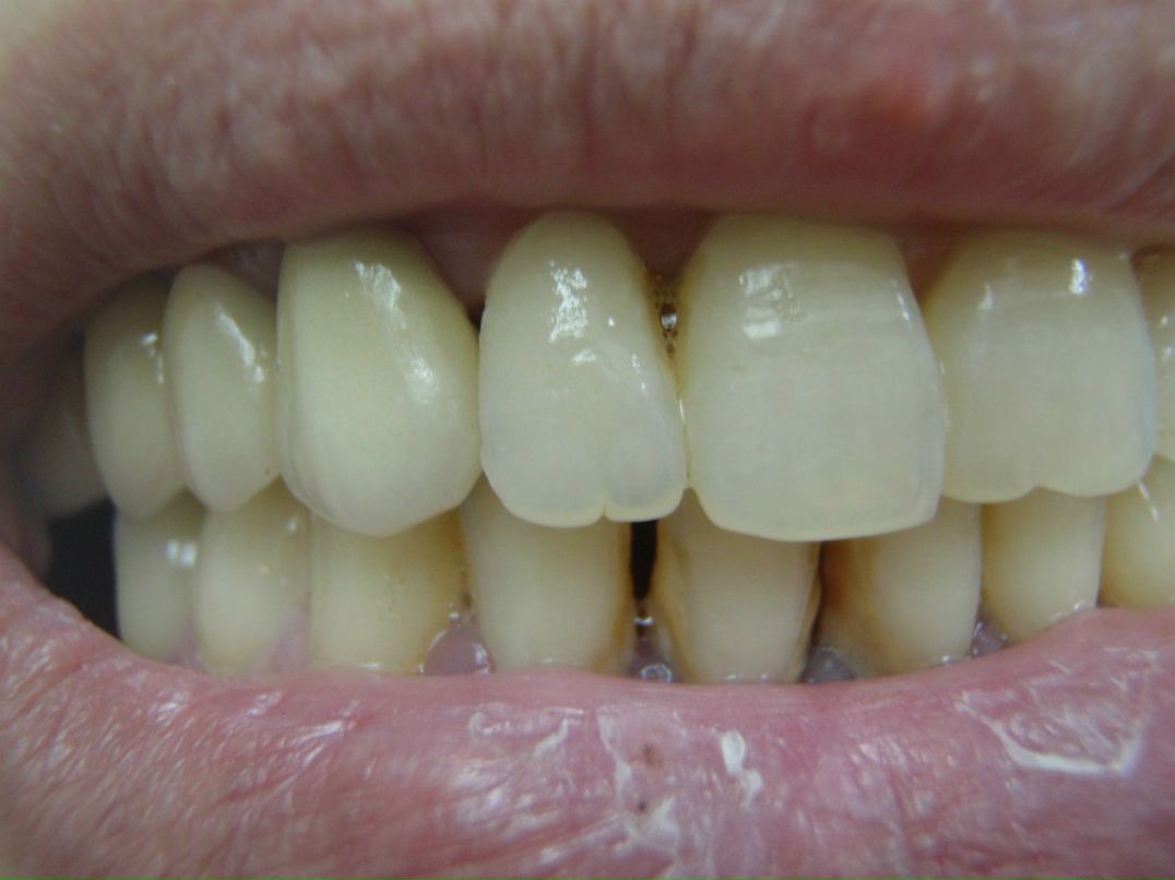
после
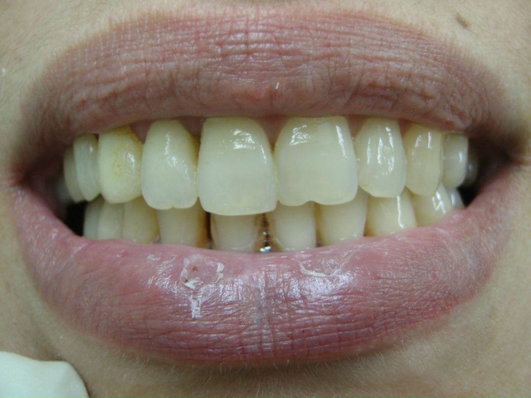
Виниры
после
М-керамика
Данная страница сгенерирована в реальном времени на лету с помощью запроса к API от соцсети ВКонтакте. На странице содержатся только открытые данные пользователей ВК, которые НЕ скрыты настройками приватности. Наш ресурс Findlik.pro НЕ собирает и НЕ осуществляет хранение персональных данных пользователей ВКонтакте.